A dead tooth (also called a non-vital tooth) is one in which the pulp — the soft tissue containing nerves and blood vessels — has died. This can happen due to trauma, untreated decay, or infection.
When the pulp dies, blood flow stops, and the tooth loses its natural color and vitality. Though it may remain in your mouth for a while, a dead tooth can cause complications if not treated.
Before we discuss how long can a dead tooth stay in your mouth, it’s crucial to understand that the issue isn’t only cosmetic — it’s a potential source of infection and pain.
How a Tooth Dies: The Common Causes
There are two main causes of a dead tooth:
- Tooth decay: If a cavity goes untreated, bacteria can reach the pulp, causing inflammation and eventually killing the nerve.
- Trauma: A physical injury — like a fall, sports accident, or impact — can damage the blood supply to the tooth, leading to pulp death.
Once the nerve dies, the tooth stops receiving nutrients and begins to darken. This process can take weeks or even months. During that time, you may wonder how long can a dead tooth stay in your mouth before it causes serious problems. The truth depends on the tooth’s condition and your oral health.
Signs and Symptoms of a Dead Tooth
Sometimes a dead tooth causes no pain at first, but over time, symptoms become more noticeable.
Here’s what to watch for:
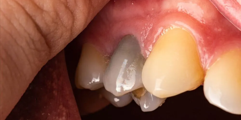
- Tooth discoloration — usually gray, brown, or black.
- Persistent bad breath or a foul taste.
- Pain or pressure when chewing.
- Swelling or gum abscess near the affected area.
- Tooth sensitivity that doesn’t go away.
If you experience one or more of these symptoms, don’t ignore them. Even if you’re not in pain, a dead tooth can harbor bacteria that may spread to surrounding tissues.
That’s why dentists caution against waiting too long when wondering how long can a dead tooth stay in your mouth.
How Long Can a Dead Tooth Stay in Your Mouth Safely?
Technically, a dead tooth can remain in your mouth for months or even years, but that doesn’t mean it’s safe. Once a tooth dies, it becomes brittle and more prone to cracking. Worse, the inside of the tooth can become a breeding ground for bacteria.
Most dentists recommend addressing the problem as soon as possible.
The longer a dead tooth stays in place untreated, the higher the risk of:
- Infection spreading to the jawbone.
- Formation of a dental abscess (a painful pocket of pus).
- Bone loss around the tooth.
- Damage to neighboring teeth or gums.
So, while you might be able to keep a dead tooth temporarily, it’s best to schedule a dental visit immediately. When it comes to how long can a dead tooth stay in your mouth, the answer is simple: not long without consequences.
What Happens If You Don’t Treat a Dead Tooth
Leaving a dead tooth untreated can lead to a range of dental complications. As the nerve tissue decomposes, bacteria multiply inside the pulp chamber, potentially spreading beyond the root tip.
This can result in:
- Chronic infection or abscess.
- Painful inflammation.
- Jawbone deterioration.
- Systemic infection, if bacteria enter the bloodstream.
In extreme cases, an untreated infection from a dead tooth can cause swelling of the face or even sinus issues. So, if you’re asking how long can a dead tooth stay in your mouth, the real question should be — how soon should I get it treated?
Treatment Options for a Dead Tooth
Fortunately, a dead tooth doesn’t always mean extraction. There are two main treatment options depending on the severity:
Option 1: Root Canal Therapy
If the outer structure of the tooth is intact, a root canal can save it. During this procedure, the dentist removes the dead pulp, disinfects the inside, and seals the tooth with a filling or crown.
This eliminates infection risk while preserving your natural tooth.
Option 2: Tooth Extraction
If the tooth is too damaged, your dentist may recommend extraction. After removal, you can replace it with a dental implant, bridge, or partial denture to maintain function and aesthetics.
So, when you’re wondering how long can a dead tooth stay in your mouth, the best answer depends on the treatment route you and your dentist choose.
Why You Shouldn’t Ignore a Dead Tooth
Ignoring a dead tooth can lead to serious oral and overall health consequences. Besides infection risk, a decayed tooth root can also affect nearby tissues.
A dead tooth may look harmless but acts like a time bomb in your mouth — silent but dangerous. Bacteria inside can cause gum disease, bone loss, or even affect your immune system over time.
Dentists stress that when you suspect a tooth has died, immediate attention prevents further damage. The question how long can a dead tooth stay in your mouth should prompt action, not delay.
Can a Dead Tooth Heal Itself?
Unfortunately, no — once a tooth’s nerve has died, it cannot regenerate. The damage to the pulp is irreversible. Some people may think the pain disappearing means the problem is gone, but in reality, the nerve is simply dead.
The absence of pain doesn’t equal health. You may not feel anything, yet bacteria can still multiply inside the dead tooth.
So if you’re still wondering how long can a dead tooth stay in your mouth, the answer is: long enough to cause harm if untreated.
How Dentists Diagnose a Dead Tooth
To confirm a diagnosis, your dentist will likely perform:
- X-rays to check for infection or bone loss.
- Pulp vitality tests using temperature or electrical stimulation.
- Visual examination for discoloration or decay.
These tests determine whether the tooth is completely dead or only partially compromised. Based on the findings, your dentist will recommend the best treatment to prevent complications.
Remember — early detection can make all the difference when it comes to saving your tooth and protecting your oral health.
How to Prevent a Tooth from Dying
The good news is that with proper dental care, you can often prevent a tooth from dying in the first place.
Follow these essential steps:
- Brush and floss twice daily to prevent decay.
- Schedule regular dental checkups every 6 months.
- Wear a mouthguard during sports to protect against trauma.
- Treat cavities early before they reach the pulp.
- Address tooth pain immediately instead of waiting.
Healthy habits can help you avoid ever having to ask how long can a dead tooth stay in your mouth — because ideally, it should never happen.
Conclusion
So, how long can a dead tooth stay in your mouth? Technically, it might remain there for months or years, but medically, it shouldn’t. The longer it stays untreated, the greater the risk of infection, pain, and further damage.
The safest solution is to visit your dentist as soon as you suspect a problem. With modern treatments like root canals and crowns, most dead teeth can be saved painlessly.
Don’t wait until you experience swelling or severe pain. A timely dental visit not only saves your tooth but also protects your overall oral health. Remember — your smile deserves professional care and attention.
FAQs
1. How long can a dead tooth stay in your mouth without causing problems?
It varies, but generally only a few months before complications arise. It’s best to seek dental treatment as soon as possible.
2. Will a dead tooth eventually fall out on its own?
Yes, in severe cases it can loosen and fall out, but this often comes with pain and infection. Extraction by a dentist is safer.
3. Can a dead tooth be saved?
In many cases, yes. A root canal can clean out the dead tissue and preserve the tooth’s structure.
4. How do I know if I have a dead tooth?
Common signs include discoloration, persistent bad taste, or gum swelling near one tooth. Only a dentist can confirm it with an exam or X-ray.
5. Is a dead tooth dangerous?
Yes — if untreated, bacteria from the dead tooth can cause infections, abscesses, or even systemic health problems.
Also read: Death Delayed for a Short Time Because of the Will: The Power of Human Determination











